Merkel Cell Carcinoma Cytology Pictures / Differential Diagnosis Of Metastatic Tumors Chapter 6 Silverberg S Principles And Practice Of Surgical Pathology And Cytopathology / Carcinoma is a type of cancer that develops in the skin or tissues covering or lining internal organs.

Merkel Cell Carcinoma Cytology Pictures / Differential Diagnosis Of Metastatic Tumors Chapter 6 Silverberg S Principles And Practice Of Surgical Pathology And Cytopathology / Carcinoma is a type of cancer that develops in the skin or tissues covering or lining internal organs.. Merkel cell carcinoma typically affects older adults and the tumour usually starts in a sun exposed area such as the head or neck. The clinical and morphological picture of merkel cell carcinoma (mcc) may be rather challenging; Merkel cell carcinoma (mcc) which is also known as neuroendocrine carcinoma or trabecular cancer is a rare cancer that occurs when the growth of. Treatments are often highly individualized, depending on a patient's general health, as well as the tumor's location, size, depth, and degree of spread. The affected area may bleed easily even after a minor.

Merkel cell carcinoma typically affects older adults and the tumour usually starts in a sun exposed area such as the head or neck. Merkel cell carcinoma is a highly aggressive primary cutaneous neuroendocrine carcinoma primarily affecting elderly and immunosuppressed individuals. Treatments are often highly individualized, depending on a patient's general health, as well as the tumor's location, size, depth, and degree of spread. A panel of antibodies including cytokeratins 20, 7 and epithelial membrane antigen, and. The reported incidence of mcc has more than tripled in the past 20 years1.

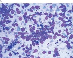
Pathology Outlines Case Of The Week 414
Pathology Outlines Case Of The Week 414 from www.pathologyoutlines.com
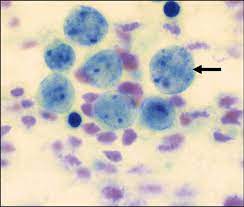
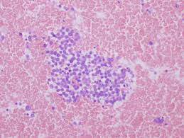
Merkel cell carcinoma is highly treatable with surgical and nonsurgical therapies, particularly if caught early. Demographic and clinical data, the cytology findings, and results of ancillary testing were reviewed. Clinical characteristics of merkel cell carcinoma at diagnosis in 195 patients: Mathew ludgate mbchb, dept of dermatology greenlane hospital auckland, new zealand, 2005. Young people with weakened immune systems can also develop merkel cell carcinoma. The clinical and morphological picture of merkel cell carcinoma (mcc) may be rather challenging; Merkel cell carcinoma typically affects older adults and the tumour usually starts in a sun exposed area such as the head or neck. What your skin says about your health slideshow:

The clinical and morphological picture of merkel cell carcinoma (mcc) may be rather challenging;

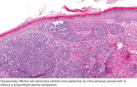
Merkel cell carcinoma is most common in older adults who have a long history of sun exposure or a weakened immune system. Merkel cell carcinoma is a skin cancer that is rare in type and needs immediate treatment. Clinical characteristics of merkel cell carcinoma at diagnosis in 195 patients: Merkel cell carcinoma is a highly aggressive primary cutaneous neuroendocrine carcinoma primarily affecting elderly and immunosuppressed individuals. This means that it can rapidly spread (metastasize) to other parts of the body. The clinical and morphological picture of merkel cell carcinoma (mcc) may be rather challenging; Merkel cell carcinoma (mcc) is a rare and aggressive skin cancer occurring in about 3 people per 1,000,000 members of the population. A merkel cell carcinoma arising on the lower leg. This lesion is a merkel cell carcinoma and squamous carcinoma (scc) collision tumor, meaning the two tumors are directly adjacent to each other. A panel of antibodies including cytokeratins 20, 7 and epithelial membrane antigen, and. The first symptom of this type of cancer is normally a very fast growing nodule or tumor that is painless and is developing on the skin. The reported incidence of mcc has more than tripled in the past 20 years1. Therefore, the immunohistochemical profile plays a relevant role in confirming the microscopic diagnosis.

Demographic and clinical data, the cytology findings, and results of ancillary testing were reviewed. A merkel cell carcinoma arising on the lower leg. Diagnosis requires microscopic evaluation as the clinical appearance is nonspecific and can mimic a variety of benign and malignant skin lesions. Merkel cell carcinoma typically affects older adults and the tumour usually starts in a sun exposed area such as the head or neck. Merkel cell carcinoma may be detected during a physical exam by your doctor or dermatologist.

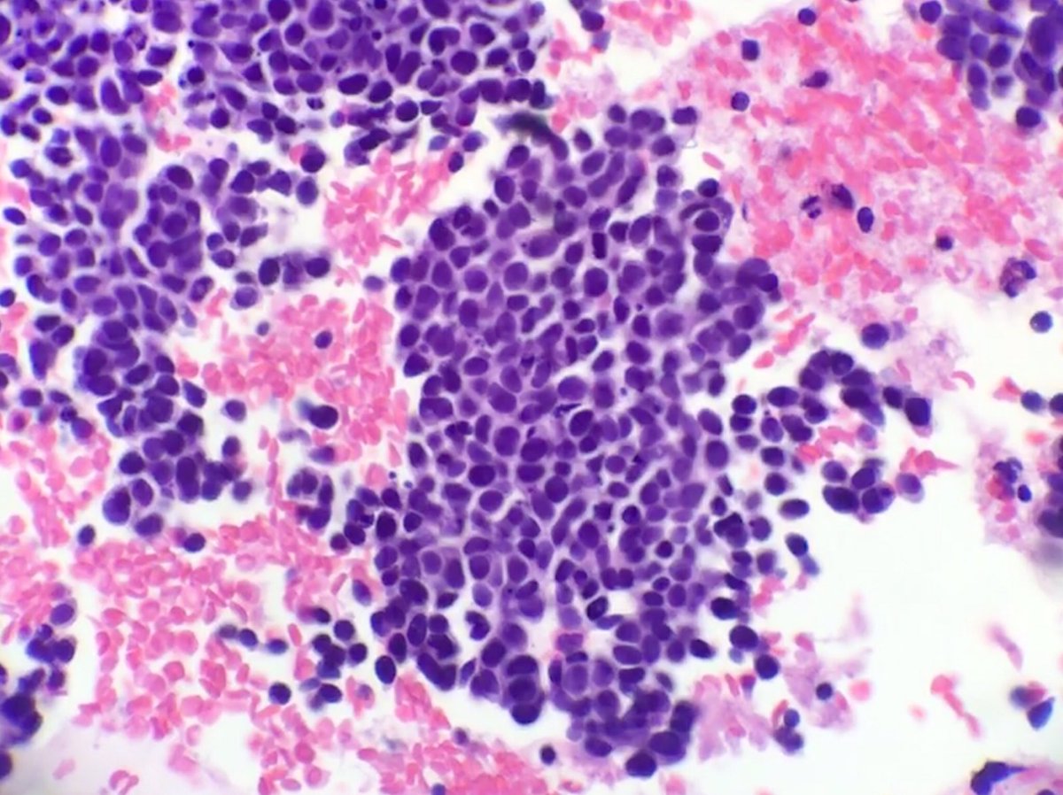
Pathology Outlines Case Of The Week 414
Pathology Outlines Case Of The Week 414 from www.pathologyoutlines.com
Young people with weakened immune systems can also develop merkel cell carcinoma. Mccs are dermally based tumors composed of small uniform round blue cells arranged in anastomosing cords, bands and clusters. Mathew ludgate mbchb, dept of dermatology greenlane hospital auckland, new zealand, 2005. The tumor developed in an area of extensive sun damage. Merkel cells are situated in the top most layer of the skin which is very near to the nerve endings that accept the touch sensation. Cancer occurs when cells begin to randomly divide and grow out of control. Merkel cell carcinoma (mcc) is a rare and aggressive skin cancer occurring in about 3 people per 1,000,000 members of the population. Merkel cell carcinoma typically affects older adults and the tumour usually starts in a sun exposed area such as the head or neck.

Merkel cell carcinoma (mcc) is a rare and aggressive skin cancer occurring in about 3 people per 1,000,000 members of the population.

Merkel cell carcinoma is highly treatable with surgical and nonsurgical therapies, particularly if caught early. Merkel cell carcinoma typically affects older adults and the tumour usually starts in a sun exposed area such as the head or neck. The anatomy and histology of skin. Merkel cell carcinoma (mcc) is a rare, aggressive form of skin cancer with a high risk for returning (recurring) and spreading (metastasizing), often within two to three years after initial diagnosis. Merkel cell carcinoma (mcc) which is also known as neuroendocrine carcinoma or trabecular cancer is a rare cancer that occurs when the growth of. What your skin says about your health slideshow: Merkel cell carcinomas may be curable when detected and treated at an early stage with either surgery or radiotherapy, but since they are usually patients with suspected metastasis may have a fine needle aspiration cytology test to confirm the presence of merkel carcinoma cells in other. The first symptom of this type of cancer is normally a very fast growing nodule or tumor that is painless and is developing on the skin. Therefore, the immunohistochemical profile plays a relevant role in confirming the microscopic diagnosis. Ключевые слова на английском языке. A panel of antibodies including cytokeratins 20, 7 and epithelial membrane antigen, and. Merkel cell carcinoma most often develops in older people. A merkel cell carcinoma arising on the lower leg.

Demographic and clinical data, the cytology findings, and results of ancillary testing were reviewed. Merkel cell carcinoma (mcc) which is also known as neuroendocrine carcinoma or trabecular cancer is a rare cancer that occurs when the growth of. Merkel cell carcinomas may be curable when detected and treated at an early stage with either surgery or radiotherapy, but since they are usually patients with suspected metastasis may have a fine needle aspiration cytology test to confirm the presence of merkel carcinoma cells in other. This lesion is a merkel cell carcinoma and squamous carcinoma (scc) collision tumor, meaning the two tumors are directly adjacent to each other. Merkel cell carcinoma is a rare type of skin cancer that usually starts in areas of skin exposed to the sun.

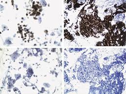
Aimi T Rothrock Md On Twitter Day 35 Merkel Cell Carcinoma On Cytology Cd56 And Nse Are More Likely To Be Positive Compared To Synapto And Chromo Cytopath Pathology Learningeveryday Https T Co Y2h1iz3jdw
Aimi T Rothrock Md On Twitter Day 35 Merkel Cell Carcinoma On Cytology Cd56 And Nse Are More Likely To Be Positive Compared To Synapto And Chromo Cytopath Pathology Learningeveryday Https T Co Y2h1iz3jdw from pbs.twimg.com
This problem occurs normally on elderly people and those who are. Merkel cell carcinoma is a skin cancer that is rare in type and needs immediate treatment. Merkel cell carcinoma most often develops in older people. Merkel cell carcinoma is a highly aggressive primary cutaneous neuroendocrine carcinoma primarily affecting elderly and immunosuppressed individuals. The tumor developed in an area of extensive sun damage. Mathew ludgate mbchb, dept of dermatology greenlane hospital auckland, new zealand, 2005. Patients with merkel cell carcinoma are usually. Merkel cell carcinoma is most common in older adults who have a long history of sun exposure or a weakened immune system.

Cancer occurs when cells begin to randomly divide and grow out of control.

Demographic and clinical data, the cytology findings, and results of ancillary testing were reviewed. Merkel cells are situated in the top most layer of the skin which is very near to the nerve endings that accept the touch sensation. Merkel cell carcinoma typically affects older adults and the tumour usually starts in a sun exposed area such as the head or neck. Find out more about risk factors, symptoms, tests to. Young people with weakened immune systems can also develop merkel cell carcinoma. Merkel cell carcinoma is a rare type of skin cancer that usually starts in areas of skin exposed to the sun. Mathew ludgate mbchb, dept of dermatology greenlane hospital auckland, new zealand, 2005. The tumor developed in an area of extensive sun damage. The reported incidence of mcc has more than tripled in the past 20 years1. Since the first description of the merkel cell carcinoma by cyril toker in 1972, the number of studies has significantly increased over the last 4 decades. This means that it can rapidly spread (metastasize) to other parts of the body. This problem occurs normally on elderly people and those who are. Merkel cell carcinoma (mcc) is a rare, aggressive form of skin cancer with a high risk for returning (recurring) and spreading (metastasizing), often within two to three years after initial diagnosis.

Merkel cell carcinoma is a skin cancer that is rare in type and needs immediate treatment merkel cell carcinoma pictures. Demographic and clinical data, the cytology findings, and results of ancillary testing were reviewed.

Comments